சிறு சொத்தை பெரிய பிரச்சினை ஆகுமா...?- டென்டிஸ்ட் சொல்லும் தீர்வு என்ன...?
Will small Tooth decay become big problem What solution that dentist suggests
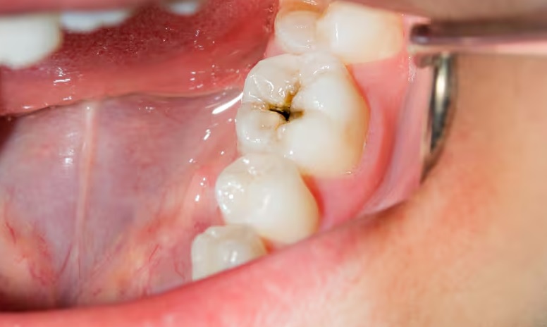
பல் சொத்தை என்றால் என்ன?
பல் சொத்தை என்பது பற்களில் உள்ள எனாமல் (Enamel), டென்டைன் (Dentin), சில நேரங்களில் பல் கூழ் (Pulp) வரை நாசமாகும் நிலை.
இதற்கு முக்கிய காரணம்:
அதிக இனிப்புப் பொருட்கள், சாக்லேட், ஜூஸ், குளிர்பானங்கள் அதிகம் உட்கொள்வது
பற்கள் சரியாக துலக்காமல் இருப்பது
வாயில் பாக்டீரியா சேர்ந்து அமிலம் உண்டாக்குவது
பல் சொத்தை சிகிச்சைகள்

ஆரம்ப நிலையில் (எனாமல், டென்டைன் மட்டுமே பாதிப்பு):
ஃபில்லிங் (Filling / நிரப்புதல்):
பல்லில் ஏற்பட்ட சொத்தை எடுத்து சுத்தம் செய்து, சிறப்பு நிரப்பும் பொருள் (Composite, Amalgam, GIC போன்றவை) கொண்டு பல் இயல்பாக வேலை செய்யும் வகையில் நிரப்பப்படுகின்றது.
இதனால் சொத்தை மேலும் பரவாமல் தடுக்கப்படுகிறது.
பல் கூழ்வரை (Pulp) சென்றுவிட்டால்:
ரூட் கனால் சிகிச்சை (Root Canal Treatment):
பாதிக்கப்பட்ட கூழை அகற்றி, பல்லின் உள்ளே சுத்தம் செய்து, கிருமி நாசினி மருந்துகள் வைக்கப்படுகிறது.
பின்னர் சிறப்பு பொருளால் பல் வேர்கள் நிரப்பப்படுகின்றன.
கடைசியாக பல் கிரவுன் (Crown) வைக்கப்படுகிறது.
இது பல் எடுப்பதை தவிர்த்து பல்லை பாதுகாக்க உதவும்.
மிகவும் பாதிப்பு அதிகமாக இருந்தால்:
பல் முழுவதும் சிதைந்தால், பல் எடுக்கப்படும்.
பின்னர் செயற்கை பல் (Implant, Bridge, Denture) வைக்கப்படலாம்.
பல் சொத்தை தடுக்கும் முறைகள்
தினமும் இரண்டு முறை பல் துலக்குதல் (காலை, இரவு)
இனிப்புகள், ஜூஸ், குளிர்பானங்கள் எடுத்தால் உடனே வாயை தண்ணீரால் கழுவுதல்
பற்களுக்குள் சிக்கிய உணவை டெண்டல் ஃபிளாஸ் (Dental Floss) கொண்டு சுத்தம் செய்தல்
ஆறு மாதங்களுக்கு ஒருமுறை டென்டிஸ்ட் பரிசோதனை செய்தல்
குழந்தைகளுக்கு ப்ளூரைடு பல் பேஸ்ட் பயன்படுத்துதல்
English Summary
Will small Tooth decay become big problem What solution that dentist suggests